失った歯をなるべく元の自然な感じで回復したいという方へ
インプラント治療というと、特別な治療のように感じられる方もいらっしゃるかもしれません。確かにかつては珍しい治療だったかもしれませんが、最近ではごく一般的な治療になりつつあります。
歯を失った後の治療法にはいくつか選択肢がありますが、インプラント治療はその中でも、特に噛み心地や見た目などの点において、最も自然な状態に近づけられる治療法です。
(インプラント治療は保険適用外の自由診療となります。)
インプラントはこんな方にオススメです
- なんでもしっかり噛める歯が欲しい
- 周囲の歯に負担をかけずに治したい
- 自然な見た目にしたい
- 長持ちする治療法がいい
- 違和感のない快適な装置がいい
- お口全体の健康を保てる治療法がいい

当院のインプラントの特徴
1.世界基準の技術
世界で著名な歯科医師に指導を受けた
インプラント技術
ワシントン大学にて客員教授、ペンシルバニア大学・ジョージア医科大学にて臨床助教を務めるイナーキガンボレナ氏からインプラント指導を受けた技術をご提供しております。
▶イナーキガンボレナ氏と安岡理事長

2.幅広い症状に対応
様々な幅広いケースに対応しております。
審美的なインプラントはもちろん、交通事故などで骨ごと歯を失ってしまった場合などに応じた大掛かりな骨移植など、幅広い症状に対応できます。

3.診査診断(マシン)とクオリティの一定化
精密機器×技術力を持つ技工所
インプラントクオリティを実現
精密機器×技術力を持つ技工所との密な連携により、全ドクターのインプラントクオリティ一定化を可能にしております。

最新鋭の精密機器
歯科用CTによる正確かつ精密な把握
従来のレントゲンと異なり、患者様の骨の形状や、神経や血管の位置などインプラント施術に不可欠な様々な情報を、立体的に精密把握することができます。
骨の厚みや傾きなど、一人ひとり異なります。歯科用CTを使用することで術前から術中、術後もリアルタイムで口腔内の状況を正確に把握した施術ができるのです。

シミュレーションソフトによる事前予測の徹底
歯科用CTにて得られた情報を、シミュレーションソフトに取り込み、実際にインプラント埋入をどのように行うかを、コンピューター上でシミュレーションします。
ドクターの経験や勘は重要ではありますが、それに加え、データに基づいた事前シミュレーションの徹底により、人為的ミスを可能な限り排除したインプラント埋入を可能としています。

4.インプラントを長持ちさせるための取り組み
インプラントの敵である歯周病を予防
一時的な処置ではなく当院なら根本的な解決が可能
インプラントが駄目になってしまう原因は、歯周病です。
当院では、インプラントの敵である歯周病を予防する為に、様々な施術をご用意しております。

インプラントってどういう治療?
インプラントは、ネジのような形をした人工の歯根を、歯を失った骨に埋めて、その上にセラミックなどの人工歯をかぶせるという治療法です。他の治療法と大きく違うのは、骨の中に歯根部分を埋め込む、というところです。
骨と人工歯根がしっかりとくっつきますので、噛んだ時の刺激をしっかりと感じ取ることができ、定着してしまえば、自分の体の一部になったようになじみます。
また、人工歯根の素材は、心臓ペースメーカーや人工関節にも用いられている、体に無害なチタンを使用しています。
歯を失ったままにしておくと…
歯を失ったまま放置してしまう人がいます。特に奥歯を片方だけ失った場合などは、反対側で噛めてしまうので、長い間放置されがちです。でも、抜けた部分を治療せずに放置しておくと、歯並びやかみ合わせが崩れてしまう、顎の骨が痩せてしまう、他の歯まで悪くなってしまう、というようなことが起こってきます。
歯を失った後はできるだけ早めに歯を補う治療を受けるようにしましょう!

他の治療「入れ歯」「ブリッジ」との違い
インプラント以外の治療法としては、主に入れ歯とブリッジがあります。いずれもよく行われている治療ですが、どんな違いがあるのか、見てみましょう。
入れ歯
入れ歯は義歯とも呼ばれているもので、取り外し式のものをいいます。歯が抜けた本数に応じて部分入れ歯か総入れ歯か、ということになります。
入れ歯の良い点は、「保険で作る場合には安価」、「短期間で作ることができる」、「壊れても修理ができる」というようなことですが、欠点として「違和感が強い」「噛み心地が弱い」、「歯茎と入れ歯の間に食べカスが入る」、「見た目が悪くなることがある」、「取り外しが面倒」、「顎の骨が痩せてしまいやすい」ということが挙げられ、不満を感じる方も珍しくありません。
ブリッジ
ブリッジは、歯が抜けた両隣の歯を削って橋を渡すようにつながった人工歯をかぶせる治療法です。
ブリッジの良い点は、「短期間で作ることができる」、「保険で作る場合には安価」というようなことですが、欠点として「健康な歯をたくさん削らなければならない」、「清掃が難しい」、「保険だと見た目が悪くなることがある」、「顎の骨が痩せてしまいやすい」ということが挙げられます。
インプラントの良い点は、「見た目が自然」、「噛み心地が自然」、「違和感が少ない」、「顎の骨が痩せにくい」、「長持ちする」ということが挙げられます。
一方、欠点としては、「手術が必要」、「骨が少ないケースでは難しいことがある」、「自費なので高額」「治療期間が長くかかる」ということが言えます。
| | インプラント | 入れ歯 | ブリッジ |
|---|
| 取り外し式or固定式 | 固定式 | 取り外し式 | 固定式 |
| 違和感 | ほぼない | 大きい | 少ない |
| 周囲の歯への影響 | ほぼない | 大きな負担がかかる | 大きな負担がかかる |
| 顎の骨吸収 | 少ない | 大きい | 大きい |
噛みごこち (天然歯と比較して) | 8~9割程度 | 3割程度 | 6割程度 |
| 清掃の容易さ | 簡単 | 外して洗うのが面倒 | 難しい |
| 見た目の良さ | 8~9割程度 | 3割程度 | 6割程度 |
| 見た目の良さ | 良い | 部分入れ歯だと金具が見えることがある | 保険だと見た目に問題が出ることがある |
| どのくらい持つか | 10年以上が9割以上 | 5〜6年 | 5〜6年 |
| 治療期間 | 4ヶ月〜(骨とインプラントの結合待ち) | 1〜2ヶ月程度 | 1〜2ヶ月程度 |
| 手術の有無 | 有 | 無 | 無 |
このように、それぞれの治療法に長所、短所があります。治療法を選ぶ際にはそれぞれの特徴をきちんと踏まえておくことをおすすめします。
当院のインプラント治療の5つのポイント
1.お口全体のバランスを考えた「フルマウスリコンストラクション」
当院では、“ただ歯が抜けたところにインプラントを埋める”というような短絡的な治療は行いません。治療を行う際は、必ずお口全体のバランスを考え、インプラントも他の歯も健康で長く残せるような治療を行います。
2.徹底した感染対策
インプラントは外科手術を伴うため、特に感染対策には最大限の注意を払っています。滅菌器具にもこだわり、感染を徹底的に防いでおります。
3.CT撮影装置を完備
インプラント治療を行う際に、もはやCTスキャンは欠かせません。当院では歯科用CTスキャンを完備し、口腔内の状況を正確に把握した手術を行える環境を整えています。
4.手術に不安な方もリラックスして受けられる静脈内鎮静麻酔
ご希望の方にはインプラントの手術の際に静脈内鎮静麻酔を行なっています。麻酔科医立ち会いのもと、リラックスした気分で治療を受けることができます。
5.インプラントの成功率を高める光機能化インプラント技術
インプラントの成功率を高めるための新しい技術、光機能化インプラント技術を取り入れています。
埋入するインプラントに特殊な光線を照射することで、歯周組織や血液などがすばやく密着しやすくなり、埋入したインプラントの結合を早めます。
症例集
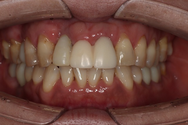
CASE01
Before

After

| 主訴 |
他院で施術の前歯のインプラント治療中最終補綴に納得いかずに来院 |
| 施術内容 |
IM上部構造…4本 / アバットメント…3本 / ジルコニア…下顎6本・上顎3本 / CTG(インプラント)…2部位 / CTG(根面被覆)…1部位 / FGG…2部位 / ポーセレンインレー…上顎4本 |
| 治療期間 |
1年4ヶ月(40回) |
| リスク・副作用 |
▼ ジルコニア
- ・予期せずチップ・脱離することがあります。
- ・神経のある歯を削る場合は神経へダメージを与える可能性があるため、確率的には1割弱ですが削った後に痛みが出ることもあります。低年齢の患者様の場合は特に注意が必要です。
- ・噛み合わせが悪い場合や歯ぎしりがある場合は装着している補綴物が欠ける可能性があります。
- ・神経の治療をされた歯に対して補綴物を装着する場合で、加重に負担がかかるケースにおいて歯根破折につながる可能性があります。
- ・フルジルコニアクラウンは新しい素材のため色が他の歯と合わせにくいという欠点があるものの、金属を全く使わないでも強度があるためそのメリットは大きいです。
- ・天然歯よりも硬度が高いため、噛み合わせや噛み癖などにより対合歯に物理的負荷をかける場合があります。
- ・ジルコニアの土台に陶器(セラミック)を焼き付けて色調整等を行う場合は、ジルコニア単体の場合に比べて表面の陶器が割れやすいケースがあります。
▼ CTG
- ・歯ぐき(主に上顎内側の歯ぐき)を切り取る必要があります。
- ・治療には出血(主に歯肉供給部位)を伴う可能性があります。
- ・術後は抗生剤・消炎鎮痛剤・含嗽剤を処方いたします。疼痛は消炎鎮痛剤で抑えられる程度のことがほとんどです。
- ・手術後に、痛みや腫れ、あざ、出血(主に歯肉供給部位)を引き起こす可能性がありますが、時間経過とともに治ります。(唾液と混合するため、稀に驚く量の血が出たと錯覚される場合がありますが、主には圧迫止血法により解消します)
- ・一過性の黄疸(頬部)を起こす可能性があります。(2~3週間で消えます)
- ・術後3週間程度は、噛んだときの痛みや、歯が浮いた感じがすることがあります。
- ・個人差がありますが、稀に歯茎が生着しない場合があります。
▼ ジルコニア・ポーセレン
- ・予期せずチップ・脱離することがあります。
- ・神経のある歯を削る場合は神経へダメージを与える可能性があるため、確率的には1割弱ですが削った後に痛みが出ることもあります。低年齢の患者様の場合は特に注意が必要です。
- ・噛み合わせが悪い場合や歯ぎしりがある場合は装着している補綴物が欠ける可能性があります。
- ・神経の治療をされた歯に対して補綴物を装着する場合で、加重に負担がかかるケースにおいて歯根破折につながる可能性があります。
- ・フルジルコニアクラウンは新しい素材のため色が他の歯と合わせにくいという欠点があるものの、金属を全く使わないでも強度があるためそのメリットは大きいです。
- ・天然歯よりも硬度が高いため、噛み合わせや噛み癖などにより対合歯に物理的負荷をかける場合があります。
- ・ジルコニアの土台に陶器(セラミック)を焼き付けて色調整等を行う場合は、ジルコニア単体の場合に比べて表面の陶器が割れやすいケースがあります。
▼ 咬合再構成
- ・治療期間の変更:咬合再構成には長期間の治療が必要となる場合があります。歯や歯肉の状態、反応、骨の状態、歯の萌出や動きには個人差があり、計画した期間が変更されることがあります。
- ・治療の成果:指示された装置を十分に使用しなかったり、口腔清掃の不備、悪習癖の改善努力、予約を守らない方の場合、治療が正常に進行せず、治療期間が長引くだけでなく、治療で良好な結果が得られなくなることがあります。
- ・治療計画の変更:咬合再構成の治療には複数の手技を平行して行う場合がほとんどです。治療の途中で口腔衛生状態の悪化、下顎の成長が著しく変化したり、舌の突出癖が治らない場合など、治療期間の延長、治療方針の変更、抜歯などが必要になることがあります。
- ・再発と再治療:歯冠修復治療後、口腔清掃の不備、歯ぎしり、喰いしばり等の悪習癖の悪化などにより虫歯や歯周病の再発、修復物や歯根の破折が起こった場合、再治療が必要となり別途費用がかかる場合があります。
- ・親知らず(第三大臼歯)の抜歯:親知らずのある方で、生えてくる余地が足りない場合、18~20歳前後にその萌出力によって、再び歯並びや咬み合わせが悪くなることがあります。このような恐れがある場合には、事前に親知らずの抜歯が必要になります。
- ・歯の痛み:修復物を入れたばかりのときや、治療をした後は歯が浮いたように感じることや、痛みを感じる場合もありますが、通常数日で軽快します。あまりに症状が強く日常生活に支障を来たす場合は早目のご相談が必要です。
- ・歯の失活:非常に稀に、歯を削る或いは矯正治療により移動したことでその歯の神経が壊死することがあります。過去に物理的外傷を受けたことがある歯は、この危険性が増大します。また、大きな虫歯の治療で歯髄(歯の神経)を温存した後に急性炎症を起こしたり、歯髄壊死を起こした場合には根管治療が必要になります(痛みを伴う場合と全く痛みを伴わない場合があります)。
- ・顎関節症:現代人の顎の関節はとても弱く、音がする、開けにくい、痛みを覚えるなどの症状を訴える方が増えています。治療前に既に顎関節症の原因がある場合、治療中に症状が出る場合もあります。顎関節症の原因には、構造的要因、過去の外傷、悪い咬み合せ、精神的要因や緊張によるもの、咬合力によるもの、態癖によるものなどがあります。通常は複数の原因が重なって顎関節症を引き起こします。咬み合わせが原因となっている場合は治療で咬みあわせを改善することにより、顎関節症は軽減します。態癖などに関する歯科医師の指導を遵守いただくことが必要不可欠です。
- ・顎関節症は一度発症すると回復が困難になるケースもあります。
|
| 費用(税込) |
2,170,000円(税込2,387,000円) |
詳細はこちら
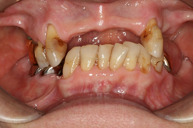
CASE02
Before

After

| 主訴 |
物が全く噛めないからなんとかしてほしい。
長年の入れ歯生活で噛めないから噛むところを探して歯が倒れ込んでどこで噛んだらいいかもわからない状態だった。 |
| 施術内容 |
インプラント…下顎4本 /
サイナスリフト…1部位 /
ソケットリフト…1部位 /
インプラントオーバーデンチャー(インプラント)…2本/
片顎部分矯正 |
| 治療期間 |
2年(35回) |
| リスク・副作用 |
▼ インプラント
- ・インプラント治療は外科処置を伴います。顎の骨が薄い、骨が弱い方はインプラント治療ができないこともあります。
- ・インプラントのオペ後、ごく稀に唇(くちびる)、舌(した)、頬(ほほ)、歯肉(しにく)の感覚麻痺が一時的に引き起こされる場合があります。また、近接する歯牙、顎、上顎洞、鼻腔に対しての炎症、疼痛、過敏症、組織治癒の遅延及び顔面部の内出血(紫斑や黄斑など)が手術の成功においても稀におられる場合があります。手術後、3~4日目になると腫れを抑えるお薬の効果が減退するため、術部が腫れてくることがございますが、大抵の場合、1週間程度で腫れは収まってくることがほとんどです。
- ・手術中に、歯牙や骨や歯肉の状態によって、手術内容を予定とは異なり、変更することもありえます。
- ・手術中に、予定していた骨の量が足りない場合には、追加の骨造成が必要になることがあります。(料金表参照)
- ・喫煙、飲酒は治療結果に影響を与える場合がございます。手術前後1週間はお控えください。
- ・処方された薬剤の作用により、吐き気、眩暈、眠気、咳、お腹がゆるくなるなど一時的に副反応が発現することがございます。
- ・インプラントは、基本的に天然歯同様、口腔衛生状態(喫煙の有無、喫煙者の協力度、咬合力、咬み合わせ、骨量、歯肉量、歯磨き、メンテナンス)を健全に保つことなしには長期的に維持・安定させることができません。
- ・治療後に、知覚過敏や痛みなどが出たり、吸収された骨が再生しなくなることが稀にあります。
- ・歯肉が退縮して、歯が長く見える、歯と歯の隙間が広くなったりすることも稀にあります。
▼ 部分矯正
- ・矯正治療に必要となる期間や精度には個人差があります。
- ・口腔内の状況により、抜歯を伴うことが必要となるケースがあります。
- ・口腔内の状況により、叢生の改善をすることでブラックトライアングルが出て来る可能性があります。
- ・個人差がありますが、歯が後戻りをすることがあります(移動した歯は元の位置に戻ろうとする性質があります)。後戻りを防止する目的で、治療終了後はリテーナー(保定装置)を一定期間正しく装着してください。
- ・ごく稀に歯が抜ける場合があります。
- ・ごく稀にブラックトライアングルができる場合があります。
- ・ごく稀に歯肉退縮が起こる可能性があります。回復するためには別途、歯周外科処置が必要となる場合があります。
- ・歯のスペースが極端に少ない場合は部分矯正では歯を移動させることが難しい場合があります。
- ・歯に痛みがでる場合があります。
▼ FGG
- ・歯ぐき(主に上顎内側の歯ぐき)を切り取る必要があります。
- ・治療には出血(主に歯肉供給部位)を伴う可能性があります。
- ・術後は抗生剤・消炎鎮痛剤・含嗽剤を処方いたします。疼痛は消炎鎮痛剤で抑えられる程度のことがほとんどです。
- ・手術後に、痛みや腫れ、あざ、出血(主に歯肉供給部位)を引き起こす可能性がありますが、時間経過とともに治ります。(唾液と混合するため、稀に驚く量の血が出たと錯覚される場合がありますが、主には圧迫止血法により解消します)
- ・一過性の黄疸(頬部)を起こす可能性があります。(2~3週間で消えます)
- ・術後3週間程度は、噛んだときの痛みや、歯が浮いた感じがすることがあります。
- ・個人差がありますが、稀に歯茎が生着しない場合があります。
▼ 咬合再構成
- ・治療期間の変更:咬合再構成には長期間の治療が必要となる場合があります。歯や歯肉の状態、反応、骨の状態、歯の萌出や動きには個人差があり、計画した期間が変更されることがあります。
- ・治療の成果:指示された装置を十分に使用しなかったり、口腔清掃の不備、悪習癖の改善努力、予約を守らない方の場合、治療が正常に進行せず、治療期間が長引くだけでなく、治療で良好な結果が得られなくなることがあります。
- ・治療計画の変更:咬合再構成の治療には複数の手技を平行して行う場合がほとんどです。治療の途中で口腔衛生状態の悪化、下顎の成長が著しく変化したり、舌の突出癖が治らない場合など、治療期間の延長、治療方針の変更、抜歯などが必要になることがあります。
- ・再発と再治療:歯冠修復治療後、口腔清掃の不備、歯ぎしり、喰いしばり等の悪習癖の悪化などにより虫歯や歯周病の再発、修復物や歯根の破折が起こった場合、再治療が必要となり別途費用がかかる場合があります。
- ・親知らず(第三大臼歯)の抜歯:親知らずのある方で、生えてくる余地が足りない場合、18~20歳前後にその萌出力によって、再び歯並びや咬み合わせが悪くなることがあります。このような恐れがある場合には、事前に親知らずの抜歯が必要になります。
- ・歯の痛み:修復物を入れたばかりのときや、治療をした後は歯が浮いたように感じることや、痛みを感じる場合もありますが、通常数日で軽快します。あまりに症状が強く日常生活に支障を来たす場合は早目のご相談が必要です。
- ・歯の失活:非常に稀に、歯を削る或いは矯正治療により移動したことでその歯の神経が壊死することがあります。過去に物理的外傷を受けたことがある歯は、この危険性が増大します。また、大きな虫歯の治療で歯髄(歯の神経)を温存した後に急性炎症を起こしたり、歯髄壊死を起こした場合には根管治療が必要になります(痛みを伴う場合と全く痛みを伴わない場合があります)。
- ・顎関節症:現代人の顎の関節はとても弱く、音がする、開けにくい、痛みを覚えるなどの症状を訴える方が増えています。治療前に既に顎関節症の原因がある場合、治療中に症状が出る場合もあります。顎関節症の原因には、構造的要因、過去の外傷、悪い咬み合せ、精神的要因や緊張によるもの、咬合力によるもの、態癖によるものなどがあります。通常は複数の原因が重なって顎関節症を引き起こします。咬み合わせが原因となっている場合は治療で咬みあわせを改善することにより、顎関節症は軽減します。態癖などに関する歯科医師の指導を遵守いただくことが必要不可欠です。
- ・顎関節症は一度発症すると回復が困難になるケースもあります。
|
| 費用(税込) |
3,150,000円(税込34,020,000円) |
詳細はこちら
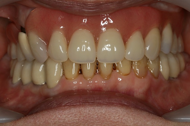
CASE03
Before
After
| 主訴 |
前医に上顎の歯を全て削られほぼほぼ連結され最初は良かったが1年ほどで脱離を繰り返すようになる別の医院に行ってもこれは前医にと言われてたらい回し。誰も治せない状態で当院もつけてくださいと来られました。 |
| 施術内容 |
インプラント…下顎4本・上顎6本 /
GBL(L)…1部位 /
ソケットリフト…2部位 /
GBR(S)…4部位 /
FGG…4部位 /
ジルコニア…11本 /
メタルボンド(インプラントポンティック部)…3本 |
| 治療期間 |
3年(50回) |
| リスク・副作用 |
▼ インプラント
- インプラント治療は外科処置を伴います。顎の骨が薄い、骨が弱い方はインプラント治療ができないこともあります。
- インプラントのオペ後、ごく稀に唇(くちびる)、舌(した)、頬(ほほ)、歯肉(しにく)の感覚麻痺が一時的に引き起こされる場合があります。また、近接する歯牙、顎、上顎洞、鼻腔に対しての炎症、疼痛、過敏症、組織治癒の遅延及び顔面部の内出血(紫斑や黄斑など)が手術の成功においても稀におられる場合があります。手術後、3~4日目になると腫れを抑えるお薬の効果が減退するため、術部が腫れてくることがございますが、大抵の場合、1週間程度で腫れは収まってくることがほとんどです。
- 手術中に、歯牙や骨や歯肉の状態によって、手術内容を予定とは異なり、変更することもありえます。
- 手術中に、予定していた骨の量が足りない場合には、追加の骨造成が必要になることがあります。(料金表参照)
- 喫煙、飲酒は治療結果に影響を与える場合がございます。手術前後1週間はお控えください。
- 処方された薬剤の作用により、吐き気、眩暈、眠気、咳、お腹がゆるくなるなど一時的に副反応が発現することがございます。
- インプラントは、基本的に天然歯同様、口腔衛生状態(喫煙の有無、喫煙者の協力度、咬合力、咬み合わせ、骨量、歯肉量、歯磨き、メンテナンス)を健全に保つことなしには長期的に維持・安定させることができません。
- 治療後に、知覚過敏や痛みなどが出たり、吸収された骨が再生しなくなることが稀にあります。
- 歯肉が退縮して、歯が長く見える、歯と歯の隙間が広くなったりすることも稀にあります。
▼ FGG
- 歯ぐき(主に上顎内側の歯ぐき)を切り取る必要があります。
- 治療には出血(主に歯肉供給部位)を伴う可能性があります。
- 術後は抗生剤・消炎鎮痛剤・含嗽剤を処方いたします。疼痛は消炎鎮痛剤で抑えられる程度のことがほとんどです。
- 手術後に、痛みや腫れ、あざ、出血(主に歯肉供給部位)を引き起こす可能性がありますが、時間経過とともに治ります。(唾液と混合するため、稀に驚く量の血が出たと錯覚される場合がありますが、主には圧迫止血法により解消します)
- 一過性の黄疸(頬部)を起こす可能性があります。(2~3週間で消えます)
- 術後3週間程度は、噛んだときの痛みや、歯が浮いた感じがすることがあります。
- 個人差がありますが、稀に歯茎が生着しない場合があります。
▼ ジルコニア・MB
- 予期せずチップ・脱離することがあります。
- 神経のある歯を削る場合は神経へダメージを与える可能性があるため、確率的には1割弱ですが削った後に痛みが出ることもあります。低年齢の患者様の場合は特に注意が必要です。
- 噛み合わせが悪い場合や歯ぎしりがある場合は装着している補綴物が欠ける可能性があります。
- 神経の治療をされた歯に対して補綴物を装着する場合で、加重に負担がかかるケースにおいて歯根破折につながる可能性があります。
- フルジルコニアクラウンは新しい素材のため色が他の歯と合わせにくいという欠点があるものの、金属を全く使わないでも強度があるためそのメリットは大きいです。
- 天然歯よりも硬度が高いため、噛み合わせや噛み癖などにより対合歯に物理的負荷をかける場合があります。
- ジルコニアの土台に陶器(セラミック)を焼き付けて色調整等を行う場合は、ジルコニア単体の場合に比べて表面の陶器が割れやすいケースがあります。
- MBは内冠に金属を用いているため、稀に金属アレルギーを発症する可能性があります。
▼ 咬合再構成
- 治療期間の変更:咬合再構成には長期間の治療が必要となる場合があります。歯や歯肉の状態、反応、骨の状態、歯の萌出や動きには個人差があり、計画した期間が変更されることがあります。
- 治療の成果:指示された装置を十分に使用しなかったり、口腔清掃の不備、悪習癖の改善努力、予約を守らない方の場合、治療が正常に進行せず、治療期間が長引くだけでなく、治療で良好な結果が得られなくなることがあります。
- 治療計画の変更:咬合再構成の治療には複数の手技を平行して行う場合がほとんどです。治療の途中で口腔衛生状態の悪化、下顎の成長が著しく変化したり、舌の突出癖が治らない場合など、治療期間の延長、治療方針の変更、抜歯などが必要になることがあります。
- 再発と再治療:歯冠修復治療後、口腔清掃の不備、歯ぎしり、喰いしばり等の悪習癖の悪化などにより虫歯や歯周病の再発、修復物や歯根の破折が起こった場合、再治療が必要となり別途費用がかかる場合があります。
- 親知らず(第三大臼歯)の抜歯:親知らずのある方で、生えてくる余地が足りない場合、18~20歳前後にその萌出力によって、再び歯並びや咬み合わせが悪くなることがあります。このような恐れがある場合には、事前に親知らずの抜歯が必要になります。
- 歯の痛み:修復物を入れたばかりのときや、治療をした後は歯が浮いたように感じることや、痛みを感じる場合もありますが、通常数日で軽快します。あまりに症状が強く日常生活に支障を来たす場合は早目のご相談が必要です。
- 歯の失活:非常に稀に、歯を削る或いは矯正治療により移動したことでその歯の神経が壊死することがあります。過去に物理的外傷を受けたことがある歯は、この危険性が増大します。また、大きな虫歯の治療で歯髄(歯の神経)を温存した後に急性炎症を起こしたり、歯髄壊死を起こした場合には根管治療が必要になります(痛みを伴う場合と全く痛みを伴わない場合があります)。
- 顎関節症:現代人の顎の関節はとても弱く、音がする、開けにくい、痛みを覚えるなどの症状を訴える方が増えています。治療前に既に顎関節症の原因がある場合、治療中に症状が出る場合もあります。顎関節症の原因には、構造的要因、過去の外傷、悪い咬み合せ、精神的要因や緊張によるもの、咬合力によるもの、態癖によるものなどがあります。通常は複数の原因が重なって顎関節症を引き起こします。咬み合わせが原因となっている場合は治療で咬みあわせを改善することにより、顎関節症は軽減します。態癖などに関する歯科医師の指導を遵守いただくことが必要不可欠です。
- 顎関節症は一度発症すると回復が困難になるケースもあります。
|
| 費用(税込) |
6,146,500円(税込6,761,150円) |
詳細はこちら
CASE04
Before
After
| 主訴 |
他院で治療を受けているが3年間で進んだのが右下のBr入れた日から痛くて噛めないという事で来院。 |
| 施術内容 |
顎機能矯正 /
インプラント…4本 /
GBR…1部位 /
CTG(インプラント)…1部位 /
ジルコニア下顎3本上顎…12本 /
FGG…2部位 |
| 治療期間 |
4年(80回) |
| リスク・副作用 |
▼ 顎機能矯正
- 矯正治療に必要となる期間や精度には個人差があります。
- 口腔内の状況により、抜歯を伴うことが必要となるケースがあります。
- 口腔内の状況により、叢生の改善をすることでブラックトライアングルが出て来る可能性があります。
- 個人差がありますが、歯が後戻りをすることがあります(移動した歯は元の位置に戻ろうとする性質があります)。後戻りを防止する目的で、治療終了後はリテーナー(保定装置)を一定期間正しく装着してください。
- ごく稀に歯が抜ける場合があります。
- ごく稀にブラックトライアングルができる場合があります。
- ごく稀に歯肉退縮が起こる可能性があります。回復するためには別途、歯周外科処置が必要となる場合があります。
- 見た目が通常の矯正よりもいびつな状況で進行する可能性があります。
- ゴムを1日22時間以上装着しない場合、反作用により歯が治療計画とは逆に動いてしまう場合があります。
- 顎機能矯正は顎関節を治療するために使用する手技であるため、機能を最優先することとなり審美性を確約するものではありません。そのため、インビザラインを追加にて施術いただく必要があります(44万円(税込))。
▼ インプラント
- インプラント治療は外科処置を伴います。顎の骨が薄い、骨が弱い方はインプラント治療ができないこともあります。
- インプラントのオペ後、ごく稀に唇(くちびる)、舌(した)、頬(ほほ)、歯肉(しにく)の感覚麻痺が一時的に引き起こされる場合があります。また、近接する歯牙、顎、上顎洞、鼻腔に対しての炎症、疼痛、過敏症、組織治癒の遅延及び顔面部の内出血(紫斑や黄斑など)が手術の成功においても稀におられる場合があります。手術後、3~4日目になると腫れを抑えるお薬の効果が減退するため、術部が腫れてくることがございますが、大抵の場合、1週間程度で腫れは収まってくることがほとんどです。
- 手術中に、歯牙や骨や歯肉の状態によって、手術内容を予定とは異なり、変更することもありえます。
- 手術中に、予定していた骨の量が足りない場合には、追加の骨造成が必要になることがあります。(料金表参照)
- 喫煙、飲酒は治療結果に影響を与える場合がございます。手術前後1週間はお控えください。
- 処方された薬剤の作用により、吐き気、眩暈、眠気、咳、お腹がゆるくなるなど一時的に副反応が発現することがございます。
- インプラントは、基本的に天然歯同様、口腔衛生状態(喫煙の有無、喫煙者の協力度、咬合力、咬み合わせ、骨量、歯肉量、歯磨き、メンテナンス)を健全に保つことなしには長期的に維持・安定させることができません。
- 治療後に、知覚過敏や痛みなどが出たり、吸収された骨が再生しなくなることが稀にあります。
- 歯肉が退縮して、歯が長く見える、歯と歯の隙間が広くなったりすることも稀にあります。
▼ CTG/FGG
- 歯ぐき(主に上顎内側の歯ぐき)を切り取る必要があります。
- 治療には出血(主に歯肉供給部位)を伴う可能性があります。
- 術後は抗生剤・消炎鎮痛剤・含嗽剤を処方いたします。疼痛は消炎鎮痛剤で抑えられる程度のことがほとんどです。
- 手術後に、痛みや腫れ、あざ、出血(主に歯肉供給部位)を引き起こす可能性がありますが、時間経過とともに治ります。(唾液と混合するため、稀に驚く量の血が出たと錯覚される場合がありますが、主には圧迫止血法により解消します)
- 一過性の黄疸(頬部)を起こす可能性があります。(2~3週間で消えます)
- 術後3週間程度は、噛んだときの痛みや、歯が浮いた感じがすることがあります。
- 個人差がありますが、稀に歯茎が生着しない場合があります。
▼ ジルコニア
- 予期せずチップ・脱離することがあります。
- 神経のある歯を削る場合は神経へダメージを与える可能性があるため、確率的には1割弱ですが削った後に痛みが出ることもあります。低年齢の患者様の場合は特に注意が必要です。
- 噛み合わせが悪い場合や歯ぎしりがある場合は装着している補綴物が欠ける可能性があります。
- 神経の治療をされた歯に対して補綴物を装着する場合で、加重に負担がかかるケースにおいて歯根破折につながる可能性があります。
- フルジルコニアクラウンは新しい素材のため色が他の歯と合わせにくいという欠点があるものの、金属を全く使わないでも強度があるためそのメリットは大きいです。
- 天然歯よりも硬度が高いため、噛み合わせや噛み癖などにより対合歯に物理的負荷をかける場合があります。
- ジルコニアの土台に陶器(セラミック)を焼き付けて色調整等を行う場合は、ジルコニア単体の場合に比べて表面の陶器が割れやすいケースがあります。
▼ 咬合再構成
- 治療期間の変更:咬合再構成には長期間の治療が必要となる場合があります。歯や歯肉の状態、反応、骨の状態、歯の萌出や動きには個人差があり、計画した期間が変更されることがあります。
- 治療の成果:指示された装置を十分に使用しなかったり、口腔清掃の不備、悪習癖の改善努力、予約を守らない方の場合、治療が正常に進行せず、治療期間が長引くだけでなく、治療で良好な結果が得られなくなることがあります。
- 治療計画の変更:咬合再構成の治療には複数の手技を平行して行う場合がほとんどです。治療の途中で口腔衛生状態の悪化、下顎の成長が著しく変化したり、舌の突出癖が治らない場合など、治療期間の延長、治療方針の変更、抜歯などが必要になることがあります。
- 再発と再治療:歯冠修復治療後、口腔清掃の不備、歯ぎしり、喰いしばり等の悪習癖の悪化などにより虫歯や歯周病の再発、修復物や歯根の破折が起こった場合、再治療が必要となり別途費用がかかる場合があります。
- 親知らず(第三大臼歯)の抜歯:親知らずのある方で、生えてくる余地が足りない場合、18~20歳前後にその萌出力によって、再び歯並びや咬み合わせが悪くなることがあります。このような恐れがある場合には、事前に親知らずの抜歯が必要になります。
- 歯の痛み:修復物を入れたばかりのときや、治療をした後は歯が浮いたように感じることや、痛みを感じる場合もありますが、通常数日で軽快します。あまりに症状が強く日常生活に支障を来たす場合は早目のご相談が必要です。
- 歯の失活:非常に稀に、歯を削る或いは矯正治療により移動したことでその歯の神経が壊死することがあります。過去に物理的外傷を受けたことがある歯は、この危険性が増大します。また、大きな虫歯の治療で歯髄(歯の神経)を温存した後に急性炎症を起こしたり、歯髄壊死を起こした場合には根管治療が必要になります(痛みを伴う場合と全く痛みを伴わない場合があります)。
- 顎関節症:現代人の顎の関節はとても弱く、音がする、開けにくい、痛みを覚えるなどの症状を訴える方が増えています。治療前に既に顎関節症の原因がある場合、治療中に症状が出る場合もあります。顎関節症の原因には、構造的要因、過去の外傷、悪い咬み合せ、精神的要因や緊張によるもの、咬合力によるもの、態癖によるものなどがあります。通常は複数の原因が重なって顎関節症を引き起こします。咬み合わせが原因となっている場合は治療で咬みあわせを改善することにより、顎関節症は軽減します。態癖などに関する歯科医師の指導を遵守いただくことが必要不可欠です。
- 顎関節症は一度発症すると回復が困難になるケースもあります。
|
| 費用(税込) |
4,450,000円(税込4,806,000円) |
詳細はこちら
CASE05
Before
After
| 主訴 |
前歯で物を噛めないと来院。
前歯の歯根破折と診断、インプラント修復で治療。
抜歯即時埋入で対応。 |
| 施術内容 |
インプラント(ジルコニアアバットメント・ジルコニア上部構造)…1本 /
GBR(S)…1ヶ所 /
CTG(インプラント)…1ヶ所 /
プレミアムコア…3本 /
ジルコニア…2本 /
ゴールドクラウン…1本 /
ゴールドインレー…6本 /
ポーセレンインレー…1本 /
部分矯正 |
| 治療期間 |
1年6ヶ月(40回) |
| リスク・副作用 |
▼ インプラント
- インプラント治療は外科処置を伴います。顎の骨が薄い、骨が弱い方はインプラント治療ができないこともあります。
- インプラントのオペ後、ごく稀に唇(くちびる)、舌(した)、頬(ほほ)、歯肉(しにく)の感覚麻痺が一時的に引き起こされる場合があります。また、近接する歯牙、顎、上顎洞、鼻腔に対しての炎症、疼痛、過敏症、組織治癒の遅延及び顔面部の内出血(紫斑や黄斑など)が手術の成功においても稀におられる場合があります。手術後、3~4日目になると腫れを抑えるお薬の効果が減退するため、術部が腫れてくることがございますが、大抵の場合、1週間程度で腫れは収まってくることがほとんどです。
- 手術中に、歯牙や骨や歯肉の状態によって、手術内容を予定とは異なり、変更することもありえます。
- 手術中に、予定していた骨の量が足りない場合には、追加の骨造成が必要になることがあります。(料金表参照)
- 喫煙、飲酒は治療結果に影響を与える場合がございます。手術前後1週間はお控えください。
- 処方された薬剤の作用により、吐き気、眩暈、眠気、咳、お腹がゆるくなるなど一時的に副反応が発現することがございます。
- インプラントは、基本的に天然歯同様、口腔衛生状態(喫煙の有無、喫煙者の協力度、咬合力、咬み合わせ、骨量、歯肉量、歯磨き、メンテナンス)を健全に保つことなしには長期的に維持・安定させることができません。
- 治療後に、知覚過敏や痛みなどが出たり、吸収された骨が再生しなくなることが稀にあります。
- 歯肉が退縮して、歯が長く見える、歯と歯の隙間が広くなったりすることも稀にあります。
|
| 費用(税込) |
1,560,000円(税込1,684,800円)
|
詳細はこちら
インプラント治療のメリット・デメリット
メリット
- しっかりと強く咬める
- 自信を持って笑うことができる
- 左右でバランスよく咬める
- 取り外す面倒がない
- 食物をおいしく味わえる
- 自分の歯にかかる負担が減って長持ちする
- 歯ごたえある食物の食感が楽しめる
- 隣の歯を削る必要がない
- 発音が安定して会話を楽しめる
- インプラントはむし歯にならない
- 見映えよく仕上げることが可能
など
デメリット
- 噛む感覚が自分の歯と違う
- 治療期間が比較的長い
- 状況により見た目がご自身の歯と異なることもある
- 食べ物が詰まりやすくなることがある
- 他の歯が抜けて義歯を入れる場合、インプラントに不用意にフックをかけるとインプラントにダメージが加わることがあるため、義歯のデザインが制限されることがある
- 外科処置に伴う痛み・腫れ・出血・合併症の可能性がある
- お手入れ次第で感染することがある
- 治療費が比較的高額
など
施術の流れ
01. 一次手術
治療計画を立てた後、問題なければ手術に臨みます。1度目の手術では、歯茎を切開して顎の骨を削り、インプラントを埋め込みます。所要時間は本数によって左右されますが、一般的に1時間~3時間程度です。
02. 治癒期間
一次手術の後、通常は約3〜6ヶ月の治癒期間をおきます。インプラントに使用されているチタンは、骨とインプラントが結合する性質を持っています。この期間では、仮歯を使用できることもありますので、ご希望の方はご相談ください。
この期間を終えると、人工の歯を装着する二次手術へと入ります。
03. 二次手術
骨とインプラントが結合して安定した後にインプラント体の頭の部分を露出し、そこに人工の歯との連結部分(アバットメント)を装着する処置を二次手術といいます。この状態で歯茎が治るまで、通常約2ヶ月おきます。
04. 人工の歯の装着
歯茎が治った時点で型を取り、上部構造(人工の歯)を作ります。色や形は人それぞれ違いますので、各々に合わせて製作してインプラントに取り付けます。この上部構造は、様々な素材のものがありますので、ぜひご相談ください。
このような流れでインプラントの手術は進んでいきます。多くの工程がありますが、インプラントを長持ちさせ、しっかりと歯として機能させるためにもそれぞれ大事な工程です。
よくある質問
10代後半の方からインプラント治療を受けることができます。
ただし、高齢だとリスクが高くなってしまうので、慎重に治療を進める必要がありますね。
また、年齢以外にもインプラント治療を受けられない状態もいくつかあるので、歯科医院で治療を受けられるかどうか相談する必要があります。
厚生労働省によって行われた調査によると、インプラントが10年〜15年後にお口の中にとどまっている確率は上の顎の場合で90%程度、下の顎で94%程度となっています。
下顎の骨は上顎の骨に比べてしっかりしているのでインプラントも骨にとどまりやすいのです。
はい、できます。 顎の骨と人工歯根をしっかり固定することにより噛む力を回復するのがインプラント治療の特長なので、硬いものでも不安なく噛んでいただけます。
手術を伴うインプラント治療は、糖尿病や心臓病といった慢性疾患や、癌治療を受けている方の場合は受けることが難しい場合があります。
咬合力に耐えられる強度があり、生体親和性が高く、骨と結合することから、現在インプラント材料としては、主にチタンあるいはチタン合金が使用されています。
インプラントと骨との結合を促進する目的で、インプラント表面を様々に改変したインプラントが多く用いられています。
インプラント治療には1回法と2回法があり、手法によって完成までの通院回数(期間)や治療時間は変わります。
【1回法の場合】
1回法では手術が名前のとおり1度だけで済むため、患者さんの身体的、精神的疲労が緩和されるメリットがあります。
1回法でもインプラントを埋め込んだ後には定着期間(治癒期間)が必要ですが、2回法と比較するとトータルの治癒期間は1回法の方が少し短くなります。
通院回数(期間)…約3回(3〜4ヶ月)
1回の治療時間…30分〜1時間半
【2回法の場合】
名前のとおり外科手術を2回行います。1回目の手術でインプラントを顎の骨に埋め込み、一度歯茎を閉じてインプラントと骨が結合する(3〜6ケ月)のを待ちます。1回法の手術より期間は長くかかってしまいますがインプラントと骨を癒着する期間が長く、感染症の発症リスクが低いのが特徴です。
通院回数(期間)…4~6回(4〜7ヶ月)
1回の治療時間…30分〜1時間半
一般的にインプラントの治療期間は、下あごで約3ヵ月、上あごで約6ヵ月かかると考えられています。 あくまで目安であり、歯周病を中心とした歯の病気を患っている場合は、もっと長くなる可能性があります。
インプラント手術は基本的に局所麻酔を使用して行われるので、手術中に痛みを感じることはほとんどないと言って良いでしょう。
感じるとしても麻酔を打つ際の注射の痛みと抜糸時の痛みだけで、それも表面麻酔を使用することで最小限の痛みに抑えることができます。
手術時間の目安インプラントを埋める1回目の手術でかかる時間は、60分〜90分が目安となります。 お口の中に部分的な麻酔を行い、インプラントを埋め、傷口を縫って終了です。
①手術時の失敗
a)骨造成手術の失敗 b)下歯槽菅の損傷 c)上顎洞への迷入
②インテグレーションしない失敗
手術後3ヶ月後、インテグレーションしない。
③人工歯製作の失敗
製作した人工歯が適合しない。見た目が悪い。
④インプラント周囲炎
手術後、数年経過したインプラントが抜けてくる。
⑤人工歯の破損やスクリューの緩み
人工歯が壊れたり、スクリューが緩んだりする。
手術後当日はシャワー程度にしていただき、翌日からは入浴可能です。
血行がよくなり傷口から出血してしまうのを避けるためです。
インプラント手術後は、鎮痛剤や、感染予防のための抗生剤の薬が処方されます。
痛み止めは痛くなければ飲む必要はありませんが、抗生剤に関しては、腫れがないからなどと言って勝手にやめると、細菌感染を起こす危険性もありますので、勝手にやめないようにしましょう。
1. セルフケア(ご自身で行うケア)
インプラントは構造上、食片などがつまりやすいので、ご自身で歯磨きや糸ようじ(インプラント用フロス)などを行うことが基本的なお口のケアになります。インプラントまわりの歯ぐきの炎症を起こす原因菌は、歯と歯ぐきの間(歯周ポケット)に繁殖しやすいので、その部分を中心に丁寧に歯磨きしてください。
2. 定期的なメンテナンス(プロフェッショナルケア)
どれだけ丁寧に歯磨きをしても取り切れない汚れもあります。これらの汚れや磨き残しは、歯科衛生士による定期的なメンテナンスが必要です。専用の機械や器具を使用して、歯石やバイオフィルム(細菌の塊)など、ご自身のケアでは行き届かない部分をPMTCの実施などにより徹底的にクリーニングします。
症例や個人によって腫れの程度は異なりますが、インプラント埋入手術の後に埋め込んだ部分が腫れるケースがあります。
痛みとは異なり腫れのピークは術後2~3日後で、徐々に治っていき、術後1~2週間で元通りになるでしょう。
食べ物や飲み物は2~3日刺激物を避けて柔らかいものを手術した部位とは逆側の歯で食べるのがオススメです。
インプラント手術後すぐは、麻酔が効いています。唇やほっぺを噛んでも感覚がなく傷ができやすいので、麻酔が完全に切れるまでの約1~2時間は、食事を控えた方が良いでしょう。
咀嚼(噛む事)するときに支えとなる歯根部分をインプラント部分で補うので、噛む強さは天然の歯と変わりません。
骨が足りない症例でもインプラント治療が可能な場合もあります。
骨の不足が、小さな範囲や少ない量であれば、人工骨(最終的に自分の骨に置き換わります)やGBRという膜を使って骨ができるスペースを作ってやることで骨ができますし、大きな症例では、顎の他の部分から骨を採取して、骨の足りないところに骨移植できます。
インプラントは細菌に対して非常に弱いです。
歯周病の患者様の場合、手術してもインプラントが歯周病菌にいつもさらされることにより骨と結合しにくいことが報告されています。
幸い骨と結合した後であっても歯周病菌による影響が常に付きまといます。
インプラント治療では、ほとんどのケースで金属アレルギーが起こりません。
仮にチタンに対する金属アレルギーがあったとしても、それは治療を始める前の検査でわかることですので、治療の失敗につながることもまずないでしょう。
また、昨今ではセラミック製のインプラントも開発が進んできました。
チタンあるいはチタン合金のインプラントを用いてインプラント治療を受けた場合、そのインプラントがMRIによる画像診断に影響を及ぼすことはありません。
リスク・副作用
- インプラント治療は外科処置を伴います。顎の骨が薄い、骨が弱い方はインプラント治療ができないこともあります。
- インプラントのオペ後、ごく稀に唇(くちびる)、舌(した)、頬(ほほ)、歯肉(しにく)の感覚麻痺が一時的に引き起こされる場合があります。また、近接する歯牙、顎、上顎洞、鼻腔に対しての炎症、疼痛、過敏症、組織治癒の遅延及び顔面部の内出血(紫斑や黄斑など)が手術の成功においても稀におられる場合があります。手術後、3~4日目になると腫れを抑えるお薬の効果が減退するため、術部が腫れてくることがございますが、大抵の場合、1週間程度で腫れは収まってくることがほとんどです。
- 手術中に、歯牙や骨や歯肉の状態によって、手術内容を予定とは異なり、変更することもありえます。
- 手術中に、予定していた骨の量が足りない場合には、追加の骨造成が必要になることがあります。(料金表参照)
- 喫煙、飲酒は治療結果に影響を与える場合がございます。手術前後1週間はお控えください。
- 処方された薬剤の作用により、吐き気、眩暈、眠気、咳、お腹がゆるくなるなど一時的に副反応が発現することがございます。 ・インプラントは、基本的に天然歯同様、口腔衛生状態(喫煙の有無、喫煙者の協力度、咬合力、咬み合わせ、骨量、歯肉量、歯磨き、メンテナンス)を健全に保つことなしには長期的に維持・安定させることができません。
- 治療後に、知覚過敏や痛みなどが出たり、吸収された骨が再生しなくなることが稀にあります。
- 歯肉が退縮して、歯が長く見える、歯と歯の隙間が広くなったりすることも稀にあります。